Beauty from Ashes
  • Home
  • Where is the Duodenum?
  • What is Duodenal Cancer?
  • How did they Diagnose us?
  • The Journey Day to Day
Beauty from Ashes
  • Home
  • Where is the Duodenum?
  • What is Duodenal Cancer?
  • How did they Diagnose us?
  • The Journey Day to Day

Duodenal Cancer INFORMATION

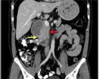
Duodenal Cancer

Duodenal Cancer is a very rare and a very aggressive cancer of the small intestine or bowel. 

It is considered a Gastrointestinal Cancer unlike most gastrointestinal cancers which happen outside the small bowel, in the colon, esophagus, stomach or pancreas.

Duodenal Cancer is found inside.

Duodenal Cancer, also known as duodenal adenocarcinoma, the names comes for the word duodenum, the wide, short part of the small intestines which is where the contents of the stomach actually enter into the digestive tract.

The duodenum is where the enzymes, bile and stomach acid mingle together in order to break down food before it enters into the colon.

Causes and Risk Factors of Duodenal Cancer

After much research I found that the main causes of duodenal cancer are thought to be like most cancers, caused when genes turn faulty, or mutate, which allow the cells to grow uncontrolled into a tumor.

Diet eating a lot of red meat, sugar, refined carbs like pasta and breads.

To few Vegetables and fruits heighten your odds

Alcohol

Tabacco


Other Factors to be thought to be Risk Factors

Age, most small intestine cancers are found in people in their 60s and 70s

Helicobacter pylori bacteria, Stress, Non-steroidal anti-inflammatory drugs (NSAIDs) such as OTC Advil, Motrin, Aleve or Aspirin, also corticosteroids, like prednisone, hydrocortisone or cortisone.Tylenol is NOT CONSIDERED AN NSAIDI also found that there is some thought that the following conditions such as belching, heartburn, peptic ulcers may also increase the risk of disease. 

Symptoms of Duodenal Cancer

Symptoms are often vague and easy to miss, but may include:

pain in stomach

nausea an vomiting

dark stool

tiredness

weakness

weight loss

Anemia (low red blood cells)

Gastrointestinal obstruction (when a tumor gets large enough to block the intestine)

Jaundice (when a tumor blocks the bile duct) The white of your eyes and skin turn yellow.

Copyright © 2024 Beauty from Ashes - All Rights Reserved.

Powered by GoDaddy

This website uses cookies.

We use cookies to analyze website traffic and optimize your website experience. By accepting our use of cookies, your data will be aggregated with all other user data.

Accept